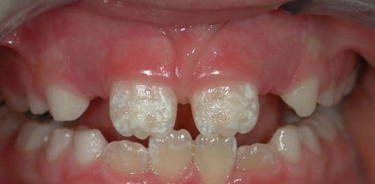
BERLIN. Die sogenannte „Molaren-Inzisiven-Hypomineralisation“ (MIH) stellt eine neue Volkskrankheit dar. In bestimmten Altersgruppen bei Kindern und Jugendlichen liegt ihr Auftreten höher als das von Karies. Das stellte Prof. Dr. Norbert Krämer, Präsident der Deutschen Gesellschaft für Kinderzahnmedizin, heute auf einer Pressekonferenz heraus. MIH bedeutet eine systemisch bedingte Strukturanomalie primär des Zahnschmelzes, die auf eine Mineralisationsstörung … Neue Volkskrankheit: Fast jeder dritte Sechstklässler leidet unter “Kreidezähnen” – wegen Weichmachern im Plastik? weiterlesen
Füge diese URL in deine WordPress-Website ein, um sie einzubetten
Füge diesen Code in deine Website ein, um ihn einzubinden