BERLIN. Die sogenannte „Molaren-Inzisiven-Hypomineralisation“ (MIH) stellt eine neue Volkskrankheit dar. In bestimmten Altersgruppen bei Kindern und Jugendlichen liegt ihr Auftreten höher als das von Karies. Das stellte Prof. Dr. Norbert Krämer, Präsident der Deutschen Gesellschaft für Kinderzahnmedizin, heute auf einer Pressekonferenz heraus. MIH bedeutet eine systemisch bedingte Strukturanomalie primär des Zahnschmelzes, die auf eine Mineralisationsstörung zurück zu führen ist. Sie tritt an einem bis zu allen vier ersten bleibenden Molaren auf. Solche “Kreidezähne” sind äußerst schmerzempfindlich und reagieren sehr sensibel auf Hitze, Kälte und Zähneputzen.

MIH hat eine rasante Entwicklung durchlaufen. 1987 wurde die Krankheit erstmals wissenschaftlich beschrieben, heute lässt sich bereits von einer neuen Volkskrankheit sprechen: im Durchschnitt leiden 10 bis 15 Prozent der Kinder an MIH, bei den 12-Jährigen liegt die Quote laut DMS V (Deutsche Mundgesundheitsstudie) inzwischen sogar bei über 30 Prozent. Eine wesentliche Rolle bei der Entstehung scheinen Weichmacher aus Kunststoffen zu spielen, die mit der Nahrung aufgenommen werden. Aufgrund von Tierversuchen ließ sich ein Zusammenhang zwischen Bisphenol A-Konsum und der Entwicklung von MIH nachweisen. Bei entsprechender Prophylaxe kann drohender Kariesbefall für solche Zähne dennoch abgewendet und deren Erhalt gesichert werden.
Als weitere potenzielle Ursachen für MIH kommen Probleme während der Schwangerschaft, Infektionskrankheiten, Antibiotikagaben, Windpocken, Einflüsse durch Dioxine sowie Erkrankungen der oberen Luftwege in Betracht. Diskutiert wird ein multifaktorielles Geschehen. Dennoch gilt die präzise Ursache wissenschaftlich weiterhin als ungeklärt. Da die Schmelzentwicklung der ersten Molaren und der Inzisivi zwischen dem achten Schwangerschaftsmonat und dem vierten Lebensjahr stattfindet, muss die Störung auch in dieser Zeitspanne auftreten. Jüngste Untersuchungen deuten darauf hin, dass aufgenommenes Bisphenol A bei der Entstehung eine große Rolle spielt.
Prävention unmöglich
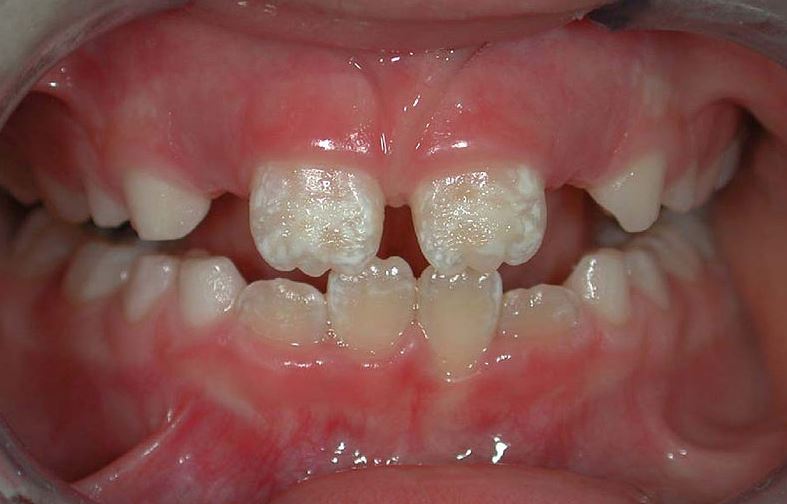
Häufig weisen bei MIH die bleibenden Frontzähne und zunehmend auch die 2. Milchmolaren Fehlstrukturierungen auf. Klinisch fällt die unterschiedliche Ausprägung der Erkrankung auf. Die Mineralisationsstörung kann sich dabei auf einen einzelnen Höcker beschränken oder aber die gesamte Oberfläche der Zähne betreffen. Die milde Form der MIH zeigt eher weiß-gelbliche oder gelb-braune, unregelmäßige Opazitäten im Bereich der Kauflächen und/oder Höcker. Die schwere Form der Zahnentwicklungsstörung weisen abgesplitterte oder fehlenden Schmelz- und/oder Dentinareale unterschiedlichen Ausmaßes auf. Die betroffenen Patienten klagen über Schmerzen beim Trinken, Essen und Zähneputzen. Dies beeinträchtigt die Lebensqualität der jungen Patienten und erschwert die Behandlung beim Zahnarzt. Dennoch ist in diesen Fällen ein schnelles therapeutisches Eingreifen dringend geboten.
Weil die Veränderungen sich schon während der Zahnentwicklung ereignen und die genauen Ursachen noch nicht geklärt sind, ist eine wirksame Prävention gegen MIH nicht möglich. Dies erklärte Prof. Dr. Stefan Zimmer, Präsident der Deutschen Gesellschaft für Präventivzahnmedizin. Da MIH-Zähne aber eine raue Oberfläche und in der Substanz eine schlechtere Qualität aufweisen, sind sie besonders kariesanfällig. Deshalb muss über das Zähneputzen hinaus eine besonders intensive Prophylaxe betrieben werden, um die Zähne vor Karies zu schützen. Hierfür stehen insbesondere Fluoridierungsmaßnahmen in der häuslichen Umgebung und der Zahnarztpraxis zur Verfügung, die altersbezogen angewandt werden müssen. Regelmäßige Untersuchungen beim Zahnarzt, die Behandlung mit Fluoridlack und der Aufbau der Zähne mit verschiedenen Techniken können dazu beitragen, auch von MIH befallene Zähne bei guter Pflege ein Leben lang zu erhalten. News4teachers
Weichmacher der Gruppe der Bisphenole haben in Kinderspielzeugen und anderen Kunststoffen nichts zu suchen und sollten vom Gesetzgeber verboten werden.
Zudem werden diese Stoffe für die steigende Zahl an infertilen Männern durch deren nachgewiesene feminisierende Wirkung mittels deren hormonartige Wirkungsweise verantwortlich gemacht.
Das Bild zeigt keine Molaren!
Stimmt, es handelt sich um Schneidezähne, betroffen sein können aber alle Zähne und inzwischen sind bis zu 30 % der zwölfjährigen Kinder von dieser Kreidezahnerkrankung MIH betroffen.
Bis 1990 war diese Zahnerkrankung noch eine Seltenheit. Somit werden wir Opfer unserer eigenen Lebensgewohnheiten. Angeschuldigt werden Bisphenol A und andere Weichmacher, die in Polystyrol und PVC gelöst sind. Polyethylen und Polypropylen sollen unbedenklich sein. Allerdings fällt es einem sehr schwer die Kennzeichnungen auf den direkten Lebensmittelverpackungen zu finden, damit der Verbraucher sich selbst schützen kann, da man von den zuständigen Behörden und Ministerien man sich anscheinend nicht verantwortlich für dieses Problem sieht.
Wahrscheinlich gibt es auch wieder Gegenstudien, wie beim Glyphosat, die eine “Unbedenklichkeit ” nachweisen. Dann möchte ich als Verbraucher wenigstens wissen, welches Verpackungsmaterial verwendet wurde.
Wenn es verstärkt Schneidezähne sind, halte ich die Nuckelflasche und deren Inhalt für sehr plausibel als Ursache.
Die Kreidezähne entstehen durch das Pestizid Glyphosat. Denn Glyphosat wurde schon 1964 als ein sogenannter Mineral Binder patentiert (U.S. Patent No. 3,160,632), da die N-(phosphomonomethyl)glycine (Glyphosat) den Pflanzen wertvolle Mineralstoffe wie Calcium, Magnesium, Eisen, Mangan, Silizium etc. entziehen, wie man hier bei Prof Dr. Monika Krüger nachlesen kann:
http://www.genuk-ev.de/glyphosat/articles/glyphosat_chelator.html
Und laut Studie des Heinrich Böll Instituts von 2015 wurde bereits in 75% der über 2000 untersuchten deutschen Bürger, mindestens 0,5ng Glyphosat in 1ml Urin gefunden.
Das Katastrophale daran ist, dass vor allem Kinder unter 9 Jahren, mit bis zu 4,2ng/ml, das meiste Glyphosat im Urin hatten. Doch was hat das Glyphosat im Urin der Kinder mit den Zähnen und der Zahnmineralisierungsstörung Molaren-Inzisiven-Hypomineralisation (MIH) zu tun?
Monsanto hat selber schon im Jahr 1988 eine Studie (Ridley, W.P. & Mirly, 1988) erstellen lassen, die belegt, dass sich bei Ratten Glyphosat nicht nur im Urin, Darm, Leber und Nieren ablagert, sondern auch in den Knochen, im Knochenmark, in den Zähnen und in den Nägeln.
Genau, das heißt, Glyphosat verteilt sich im gesamten Skelett von Mensch und Tier und entzieht den Knochen dort Mineralstoffe, die die Knochen und Zähnedringend zum Wachsen und zur Stabilität benötigen.
Zudem vermuten einige Zahnärzte, dass Antibiotika etwas mit den Bröselzähnen zu tun haben können.
Doch nicht alle Kinder mit Bröselzähnen wurden mit Antibiotika behandelt. Nun, wie praktisch, denn Monsanto hat Glyphosat auch als eine Art Antibiotikum patentieren lassen (US7771736 B2), da das Pflanzenschutzmittel hunderte verschiedene Bakterien abtötet, die auch beim Menschen im Darm wichtig für eine gesunde Darmflora sind.
Daher sollten alle betroffenen Eltern den Urin oder besser noch die Reste der Zähne ihres Kindes auf Glyphosat testen lassen, und die behandelnden Zahnärzte auf diese Zusammenhänge aufmerksam machen.
@Roberta
Das Totalherbizid blockiert das Enzym ESPSP, dass die Synthese der Aminosäuren Tyrosin, Phenylanalin ,und Tryptophan der Pflanzen ausführt. Damit sterben die Pflanzen ab.
Glyphosat wird seit Beginn der 70er Jahre in der Landwirtschaft eingesetzt, nachdem DDT weltweit geächtet wurde. Diese Kreidezahnerkrankung gibt es erst seit etwa 2000 verstärkt, ein Zusammenhang erscheint nicht glaubhaft und lässt sich durch die Gegenseite sehr leicht entkräften. Und natürlich gehört Glyphosat verboten, aber aus anderen vielen anderen Gründen, wie der Verminderung der Artenvielfalt, seiner toxischen Wirkung auch auf Wirbeltiere, der sehr langen Verweildauer in den Böden etc.
Im übrigen hat der Landwirtschaftsminister Herr Müller von der CSU doch die Unbedenklichkeit von Glyphosat erklärt und gesagt er würde das Zeug sogar trinken, soll er es doch mal endlich tun, Betten auf deutschen Intensivstationen ist es auch für folkloristisch angehauchte Vollpfosten, die einseitig die Interessen der chemischen Industrie bedienen.
Zeile 14 :gibt es auch
Anscheinend haben Sie den von mir verlinkten Artikel von Prof Dr. Monika Krüger nicht gelesen, denn dann wüssten Sie, dass Glyphosat sogar von Monsanto selber als ein Mineral Chelator patentiert wurde, und Ackerboden, Pflanzen, Tieren und Menschen Mineralstoffe entzieht.
Monsantos eigene Studie (Ridley, W.P. & Mirly, 1988) belegt, dass sich Glyphosat in Leber, Darm, Knochen, im Knochenmarkt, in Nägeln und Zähnen von Ratten ablagert, wie sie hier nachlesen können:
https://oehha.ca.gov/media/downloads/water/chemicals/phg/glyphg062907_0.pdf
Zufälligerweise gab es vor genau 30 Jahren, also 1987, den ersten dokumentierten Fall von MIH in Deutschland.
Zu der Zeit wurde auch Glyphosat vermehrt eingesetzt. Daher ist es auch kein Wunder, dass bereits 40% der Kinder in Brasilien von der Zahnmineralisierungsstörung MIH betroffen sind, wie sie hier nachlesen können:
https://www.castlegatedental.com/patient-information/molar-incisor-hypomineralisation/
Denn in Brasilien wird extrem viel Glyphosat eingesetzt.
Die Zahnärzte vermuten auch Antibiotikamedikamente als Ursache der MIH.
Zufälligerweise wurde Glyphosat von Monsanto auch als Antibiotikum patentiert, wie Sie hier nachlesen können: (US7771736 B2).
Denn wird sind ja hier bei den lesenden Pädagogen und nicht bei der Märchenstunde der Agrarindustrie.
Zu der Frages des Einsatzes seit den 70ern sei zu beachten:
Wikipedia:
“Die Substanz kam erstmals 1974 als Wirkstoff des – auch aus weiteren Stoffen bestehenden – Herbizids Roundup auf den Markt. Zunächst wurde das kostengünstige Glyphosat als Wirkstoff in der Landwirtschaft benutzt, um die Felder vor der neuen Aussaat von Unkräutern zu befreien. In den 1990er Jahren wurden gentechnisch veränderte Pflanzen mit Glyphosatresistenz zugelassen. Dies ermöglichte es, glyphosathaltige Herbizide auch nach der Aussaat und während des gesamten späteren Wachstums der Pflanzen einzusetzen.”
Zufällig korreliert die Besprühung der eigentlichen Nutzpflanzen (erst seit den 90ern) perfekt mit dem Aufkommen von MIH.
Beweist nichts, aber nachdenklich macht es einen schon.