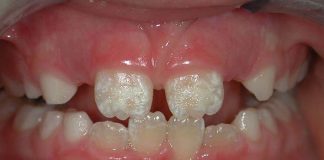
Schlagwort: MIH
Neue Volkskrankheit: Fast jeder dritte Sechstklässler leidet unter “Kreidezähnen” – wegen...
BERLIN. Die sogenannte „Molaren-Inzisiven-Hypomineralisation“ (MIH) stellt eine neue Volkskrankheit dar. In bestimmten Altersgruppen bei Kindern und Jugendlichen liegt ihr Auftreten höher als das von...






